• Главная
  • История
    • Войны
    • Города
    • Продукты
    • Республики
    • Средние века
    • Страны
  • Наука
    • Авиация
    • Анатомия
    • Археология
    • Астрономия
    • Биология
    • География
    • Геология
    • Геометрия
    • Космология и космонавтика
    • Криминалистика
    • Литература
    • Математика
    • Медицина
    • Метеорология
    • Метрология
    • Научные законы
    • Новости науки
    • Психология
    • Физика
    • Философия
    • Химия
    • Экология
    • Экономика
    • Этика
  • Бизнес
    • Банки
  • Изобретения
  • Человек
  • Животные
  • Кино
  • Компьютер
  • От А до Я
Поиск
  • Главная
  • Люди
  • Словарь
  • Изобретения
  • Авторам
  • Контакты
  • Карта сайта
Sign in
Добро пожаловать! Войдите в свою учётную запись
Forgot your password? Get help
Password recovery
Восстановите свой пароль
Пароль будет выслан Вам по электронной почте.

ПОЧЕМУХА.РУ ответы на вопросы.

  • Главная
  • История
    • ВсеВойныГородаПродуктыРеспубликиСредние векаСтраны
      Почему одни страны называют себя республиками, а управляются почти как монархии?
      Республики

      Почему одни страны называют себя республиками, а управляются почти как монархии?

      Почему в мире так много «народных республик» и что это вообще значит?
      Республики

      Почему в мире так много «народных республик» и что это вообще…

      Почему Индия — огромная страна, но при этом демократическая республика, а не империя?
      Республики

      Почему Индия — огромная страна, но при этом демократическая республика, а…

      Почему Италия отказалась от монархии и выбрала республику после войны?
      Республики

      Почему Италия отказалась от монархии и выбрала республику после войны?

  • Наука
    • ВсеАвиацияАнатомияАрхеологияАстрономияБиологияГеографияГеологияГеометрияКосмология и космонавтикаКриминалистикаЛитератураМатематикаМедицинаМетеорологияМетрологияНаучные законыНовости наукиПсихологияФизикаФилософияХимияЭкологияЭкономикаЭтика
      Почему площадь круга зависит от числа π?
      Геометрия

      Почему площадь круга зависит от числа π?

      Почему диагонали ромба пересекаются под прямым углом?
      Геометрия

      Почему диагонали ромба пересекаются под прямым углом?

      Почему у квадрата все углы прямые?
      Геометрия

      Почему у квадрата все углы прямые?

      Почему окружность — это множество точек на одинаковом расстоянии от центра?
      Геометрия

      Почему окружность — это множество точек на одинаковом расстоянии от центра?

  • Бизнес
    • ВсеБанки
      Кто изобрел кредитные карты и как они повлияли на финансы
      Величайшие изобретения

      Кто изобрел кредитные карты и как они повлияли на финансы

      Почему с помощью биткоинов можно быстро разбогатеть?
      Бизнес

      Почему с помощью биткоинов можно быстро разбогатеть?

      Почему банки заблокировали кредитную или зарплатную карту?
      Банки

      Почему банки заблокировали кредитную или зарплатную карту?

      Почему банки не сообщают причину отказа по кредиту?
      Банки

      Почему банки не сообщают причину отказа по кредиту?

  • Изобретения
    • Кто считается изобретателем первого автомобиля с двигателем внутреннего сгорания?
      Автомобили

      Кто считается изобретателем первого автомобиля с двигателем внутреннего сгорания?

      Кто изобрел флеш-накопитель и как он заменил диски
      Величайшие изобретения

      Кто изобрел флеш-накопитель и как он заменил диски

      Кто изобрел аккумулятор и как он позволил хранить энергию
      Величайшие изобретения

      Кто изобрел аккумулятор и как он позволил хранить энергию

      Кто изобрел печатный станок и как он сделал книги доступными
      Величайшие изобретения

      Кто изобрел печатный станок и как он сделал книги доступными

      Кто изобрел кнопочный телефон и как он изменил связь
      Величайшие изобретения

      Кто изобрел кнопочный телефон и как он изменил связь

  • Человек
    • Головная боль. Когда стоит беспокоиться?
      Медицина

      Головная боль. Когда стоит беспокоиться?

      Почему дружба важнее всего?
      Психология

      Почему дружба важнее всего?

      Почему человеку трудно вставать по утрам?
      Всё о человеке

      Почему человеку трудно вставать по утрам?

      Почему кожа чешется и горит после солнечных ванн? Как это облегчить?
      Всё о человеке

      Почему кожа чешется и горит после солнечных ванн? Как это облегчить?

      Почему ребенок срыгивает?
      Всё о человеке

      Почему малыш срыгивает?

  • Животные
    • Почему домашние питомцы иногда ведут себя «странно» ночью
      Совершенно секретно

      Почему домашние питомцы иногда ведут себя «странно» ночью

      Почему мыши могут предупреждать о надвигающихся катастрофах
      Совершенно секретно

      Почему мыши могут предупреждать о надвигающихся катастрофах

      Почему киты общаются на «сверхдальних частотах»
      Совершенно секретно

      Почему киты общаются на «сверхдальних частотах»

      Почему вороны помнят лица и способны мстить
      Совершенно секретно

      Почему вороны помнят лица и способны мстить

      Почему осьминоги считаются самыми загадочными существами океана
      Совершенно секретно

      Почему осьминоги считаются самыми загадочными существами океана

  • Кино
    • Почему Леонид Гайдай снимал комедии с «двойным дном»
      Совершенно секретно

      Почему Леонид Гайдай снимал комедии с «двойным дном»

      Кино

      Почему в анимации велика роль художника?

      Кино

      Почему в Игре престолов Тириона называют бес?

      Кино

      Почему Джагхеда в сериале Ривердейл называют Бакланом?

      Кино

      Послание в бутылке (1999)

  • Компьютер
    • Почему нужен антивирус?
      Компьютер

      Почему нужен антивирус?

      Компьютер

      Почему клавиатура не по алфавиту?

      Компьютер

      Почему опасен метод попарного тестирования?

      Компьютер

      Почему существуют различные раскладки клавиатуры?

      Компьютер

      Где можно купить ИБП оптом в Москве?

  • От А до Я
    • От А до Я

      Названия стран от А до Я

      От А до Я

      Названия грибов от А до Я

      От А до Я

      Города России от А до Я

      От А до Я

      Что такое стиль?

      От А до Я

      Что такое пафос?

Медицина

Лечение минеральными водами

Why - 9 мая 2013
0
История

Значение металлопроката в истории государства

Why - 9 мая 2013
0
Медицина

Как поднять давление?

Why - 7 мая 2013
0
Медицина

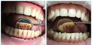
Как удалить зубные камни?

Why - 7 мая 2013
0
Медицина

Как лечить кариес?

Why - 7 мая 2013
0
Медицина

Как избавиться от тяжести в желудке?

Why - 7 мая 2013
0
Детские развлечения

Надувные бассейны для самых маленьких

Why - 6 мая 2013
0
Автомобили

Комфортная езда в умеренном климате

Why - 2 мая 2013
0
Интернет

Как повысить скорость загрузки страниц в Интернете?

Why - 1 мая 2013
0
Медицина

Как вылечить заложенность ушей?

Why - 1 мая 2013
0
1...519520521...926Страница 520 из 926
Интересности
Пфемферт Франц (1879—1954). Уроженец Лётцена (Восточная Пруссия), он провел детство в Берлине, где в 1904 г. начал работать журналистом. Издавал «Акцион» (первый номер журнала вышел 20 февраля 1911 г.). Открыл также собственное издательство с таким же названием. Вскоре занялся политической деятельностью. В 1918—1919 гг. поддерживал спартаковцев, затем рабочую коммунистическую партию, анархо-синдикалистов, а впоследствии троцкистов. В 1933 г. эмигрировал в Чехословакию, затем во Францию и, наконец, в США. Зарабатывал на жизнь ремеслом фотографа; умер в Мексико-Сити.
Почему площадь круга зависит от числа π?

Почему площадь круга зависит от числа π?

Геометрия Why - 30 апреля 2026
0
Площадь круга выражается формулой S=πr2S = pi r^2S=πr2. Но почему здесь появляется именно число π, а не какое-то другое? Ответ связан с тем, как...
Почему диагонали ромба пересекаются под прямым углом?

Почему диагонали ромба пересекаются под прямым углом?

Геометрия Why - 29 апреля 2026
0
Ромб — это фигура, у которой все стороны равны, но углы могут быть разными. Несмотря на это, у него есть удивительное свойство: его диагонали...
Почему у квадрата все углы прямые?

Почему у квадрата все углы прямые?

Геометрия Why - 28 апреля 2026
0
Квадрат кажется простой фигурой: четыре равные стороны и «ровные» углы. Но именно эти углы — ключ к его особым свойствам. В геометрии квадрат определяется...
Почему окружность — это множество точек на одинаковом расстоянии от центра?

Почему окружность — это множество точек на одинаковом расстоянии от центра?

Геометрия Why - 27 апреля 2026
0
Когда мы рисуем окружность, кажется, что это просто «круглая линия». Но в геометрии у неё есть строгое определение: окружность — это множество всех точек...
Почему сумма углов треугольника равна 180 градусам?

Почему сумма углов треугольника равна 180 градусам?

Геометрия Why - 26 апреля 2026
0
Это одно из самых известных свойств геометрии, которое кажется почти «очевидным», но на самом деле опирается на важные правила устройства пространства. Если взять любой...
Почему торговля ускоряет развитие технологий?

Почему торговля ускоряет развитие технологий?

Торговля Why - 25 апреля 2026
0
Торговля — это не только обмен товарами, но и обмен идеями. Когда страны и компании взаимодействуют, они начинают конкурировать, заимствовать решения и искать способы...
Почему рынки и ярмарки были важны в прошлом?

Почему рынки и ярмарки были важны в прошлом?

Торговля Why - 24 апреля 2026
0
До появления супермаркетов, интернет-магазинов и даже развитых торговых сетей основой экономики были рынки и ярмарки. Именно там люди покупали еду, одежду, инструменты и узнавали...
Почему производство переносят в другие страны?

Почему производство переносят в другие страны?

Торговля Why - 23 апреля 2026
0
Когда крупная компания решает открыть завод не у себя дома, а за тысячи километров, это почти всегда связано с расчётом. Перенос производства — это...
Почему цепочки поставок могут «ломаться»?

Почему цепочки поставок могут «ломаться»?

Торговля Why - 22 апреля 2026
0
Современная торговля работает как сложный механизм: сырьё добывают в одной стране, компоненты производят в другой, сборка происходит в третьей, а продажа — по всему...
Почему дефицит товаров возникает даже в развитых странах?

Почему дефицит товаров возникает даже в развитых странах?

Торговля Why - 21 апреля 2026
0
Кажется логичным: если страна богатая и технологически развитая, товаров там должно хватать всегда. Но в реальности даже самые сильные экономики периодически сталкиваются с дефицитом...
Почему таможенные пошлины влияют на конечную цену товара?

Почему таможенные пошлины влияют на конечную цену товара?

Торговля Why - 20 апреля 2026
0
Когда товар пересекает границу, он часто облагается таможенной пошлиной — дополнительным платежом, который нужно внести государству. На первый взгляд это просто налог, но на...
Почему некоторые товары запрещено ввозить или вывозить?

Почему некоторые товары запрещено ввозить или вывозить?

Торговля Why - 19 апреля 2026
0
На первый взгляд может показаться странным: если есть спрос и предложение, почему просто не разрешить свободную торговлю всем подряд? Но в реальности государства ограничивают...

ВЫБОР РЕДАКТОРА

Почему площадь круга зависит от числа π?

Почему площадь круга зависит от числа π?

30 апреля 2026
Почему диагонали ромба пересекаются под прямым углом?

Почему диагонали ромба пересекаются под прямым углом?

29 апреля 2026
Почему у квадрата все углы прямые?

Почему у квадрата все углы прямые?

28 апреля 2026

ПОПУЛЯРНЫЕ СООБЩЕНИЯ

Rise of Kingdoms. Лицей знаний. Ответы на все вопросы

22 мая 2020
французская революция

Французская революция. Причины французской революции

10 февраля 2011

Стив Джонс

22 декабря 2016

ПОПУЛЯРНАЯ КАТЕГОРИЯ

  • История630
  • Медицина582
  • Известные личности527
  • Важно знать489
  • Величайшие изобретения475
  • Строительство446
  • Животные368
  • Наука364
  • Всё о человеке346
О НАС
Свяжитесь с нами: sikth182@yandex.ru
  • Главная
  • Люди
  • Словарь
  • Изобретения
  • Авторам
  • Контакты
  • Карта сайта
© © 2010-2025 ПОЧЕМУХА.РУ ответы на вопросы.
Яндекс.Метрика